협심증과 심근경색은 종종 혼동되는 경향이 있으며, 이 두 질병 간의 차이와 위험성에 대한 내용을 정리합니다!
이 글에서는 협심증과 심근경색의 차이를 자세히 살펴보고, 두 질병의 위험성을 비교하여 심장 질환에 대한 인식을 높이고, 적절한 대응을 취할 수 있도록 정보를 제공하겠습니다.



✅협심증과 심근경색의 차이
협심증과 심근경색은 모두 관상동맥 증후군의 일부로서, 심장에 산소와 영양분을 공급하는 혈관인 관상동맥에 문제가 발생할 때 나타나는 심혈관 질환입니다. 그러나 이 두 질병은 발생 원인과 심각성 면에서 차이가 있습니다.
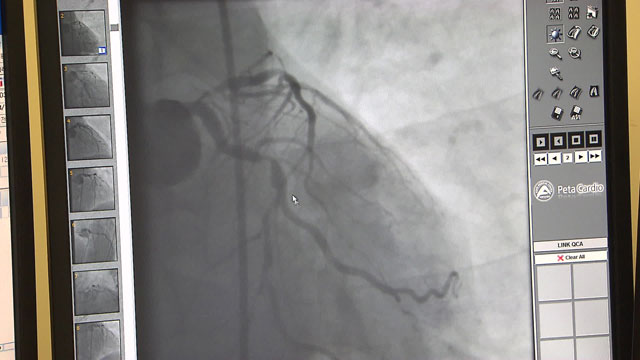
보다 이해하기 쉽게 전문의가 제작한 영상을 보시면 더욱 이해가 잘 됩니다!
영상 길이는 1분으로 상당히 짧습니다! 1분만 투자하시면 협심증과 심근경색의 차이를 명확하게 이해하실 수 있습니다!
아래 영상 클릭하면 재생됩니다! 꼭 시청해보세요.



이어서 일반적으로 알려진 협심증과 심근경색의 차이 관련 정보를 정리해보겠습니다.
협심증
협심증은 관상동맥이 일시적으로 좁아져서 심장 근육이 충분한 산소를 받지 못할 때 발생합니다. 이로 인해 가슴 통증, 숨참, 불안감 등의 증상이 나타납니다. 협심증 자체는 생명을 직접적으로 위협하지는 않지만, 치료 없이 방치될 경우 악화될 수 있습니다.



심근경색
심근경색은 관상동맥 중 하나가 완전히 막혀서 심장 근육에 혈액 공급이 차단된 상태를 가리킵니다. 이로 인해 가슴 통증은 협심증보다 더 강하고 지속적이며, 호흡 곤란, 메스꺼움, 구역짐 등의 증상이 나타납니다. 심근경색은 생명에 직접적인 위험이 매우 높은 상황으로, 신속하고 적절한 응급 치료 없이는 생명에 심각한 영향을 미칠 수 있습니다.



위험성 비교
협심증과 심근경색의 위험성을 비교할 때, 심근경색이 더 큰 위험을 내포하고 있습니다. 심근경색은 협심증보다 훨씬 심각하며, 제때 치료받지 않으면 생명을 위협할 수 있습니다.
협심증은 초기 단계에서는 생명을 직접적으로 위협하지 않지만, 무시하고 방치할 경우 악화되어 결국 신음 경색으로 진행될 수 있으며, 이후 심장 손상을 초래할 수 있습니다.
따라서, 심장 관련 증상이 나타날 경우 즉시 의료 전문가와 상담하고, 필요한 치료를 받는 것이 중요합니다. 심장 질환은 신속한 대응이 생명을 구할 수 있는 중요한 요소이며, 정기적인 건강 검진과 생활습관의 개선을 통해 심혈관 질환의 발병을 예방하는 것이 핵심입니다.



✅협심증 심근경색 예방 및 관리방법
무엇보다 질병은 예방하고 관리하는게 중요합니다. 전문가들이 이야기하는 관리방법을 한번보시면 큰 도움이 됩니다.
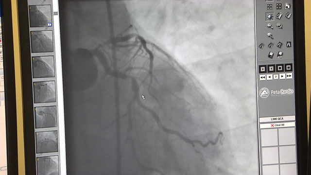
아래 영상은 대한심장학회 심근경색연구회에서 촬영한 영상입니다. 전문의들이 제작한 내용이기 때문에 정보의 질이 다릅니다!
꼭 시청해서 올바른 관리 방법을 숙지하시기 바랍니다!
아래 영상 클릭하시면 재생이 됩니다!



추가적으로 심근경색 및 협심증 예방법을 정리해보겠습니다.
흡연을 금지
흡연은 동맥을 좁히고 혈압을 높이며 혈전을 쉽게 만들 수 있습니다. 따라서 협심증과 심근경색 예방을 위해 흡연을 금지하거나 가능하면 줄이는 것이 매우 중요합니다.



고혈압을 관리
고혈압은 혈관에 압력을 가하고 손상시킬 수 있는 위험인자 중 하나입니다. 정기적으로 혈압을 측정하고, 의사의 처방에 따라 약물 치료를 받아 고혈압을 효과적으로 관리해야 합니다.



당뇨병을 관리
당뇨병은 혈당이 높아져서 혈관을 손상시킬 수 있습니다. 예방과 관리를 위해 정기적으로 혈당을 측정하고, 의사의 처방에 따라 약물 치료나 인슐린 주사를 받는 것이 필요합니다.
고지혈증을 관리
고지혈증은 콜레스테롤이나 중성지방이 높아져서 혈관에 쌓일 수 있는 위험인자 중 하나입니다. 정기적으로 혈액 검사를 받고, 의사의 처방에 따라 약물 치료를 받아 고지혈증을 효과적으로 관리해야 합니다.



건강한 식습관을 유지
건강한 식습관은 협심증과 심근경색 예방에 핵심적입니다. 지방, 염분, 당분이 많은 음식을 피하고, 채소, 과일, 견과류 등 다양하고 균형잡힌 음식을 섭취하여 몸에 필요한 영양소를 공급하는 것이 중요합니다.



규칙적인 운동을 합니다
규칙적인 운동은 체중과 혈압을 낮추고, 혈관의 탄력성과 순환능력을 향상시킵니다. 하지만 과도한 운동은 피하고, 자신의 체력에 맞는 강도와 시간의 운동을 통해 심혈관 건강을 지속적으로 관리하는 것이 필요합니다.

