발가락 골절은 일상 생활에서 발생할 수 있는 상황으로, 엄지발가락과 새끼발가락이 걷는 동안 수행하는 중요한 역할을 하고 있습니다. 골절 정도에 따라 적절한 치료 방법을 선택하는 것이 중요합니다.
아래는 발가락 골절의 다양한 원인과 그에 따른 치료 방법을 자세히 설명합니다.

✅발가락 골절 원인
발가락 골절은 다양한 양상을 가질 수 있습니다. 일반적으로 발을 부딪히거나 상황에 따라 발가락에 골절이 발생합니다. 이러한 골절은 뼈의 부러짐 정도에 따라 크게 두 가지로 나뉩니다.
- 깁스 치료가 필요한 경우: 뼈가 완전히 부러진 경우로, 뼈의 정렬과 안정성을 위해 깁스로 고정해야 합니다.
- 스플린트 치료로 충분한 경우: 미세한 골절로, 뼈에 금만 간 경우입니다. 이런 경우에는 발가락용 스플린트를 사용하여 충분히 치료할 수 있습니다.
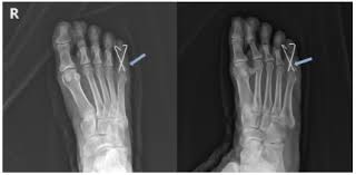
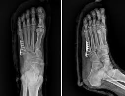
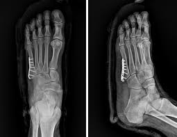
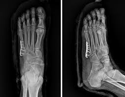
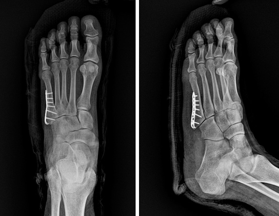
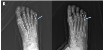
또한, 복합 골절이나 압박 골절과 같이 더 복잡한 경우에는 수술이 필요할 수 있으며, 뼈가 조각나거나 비스듬하게 부러진 경우에는 금속판을 추가적으로 사용할 수 있습니다.



사실 애매한 경우가 있죠? 발가락 골절인지 아닌지 궁금하시다면 전문 의사가 촬영한 영상을 시청해보세요.
병원에 가야할지 말아야 할지 고민이 싹 해결 됩니다!
👍https://youtu.be/5AFqA9xwX_M?si=nTeKNJaykh9gN3bL
위 링크 클릭하시면 영상으로 갑니다.



✅발가락 골절 치료 기간
발가락 골절의 치료 기간은 골절의 종류와 정도에 따라 달라집니다. 다음은 일반적인 치료 기간의 범위입니다.
- 깁스 치료: 뼈가 완전히 부러진 경우로, 일반적으로 6~8주 동안 깁스가 필요합니다.
- 스플린트 치료: 미세한 골절인 경우, 약 4주 동안 스플린트를 사용하여 치료할 수 있습니다.
- 수술 후: 수술을 받은 경우, 수술 후에는 추가적으로 2~4주 동안의 치료가 필요할 수 있습니다.
발가락 골절은 조기 발견과 적절한 치료로 완전한 회복이 가능하며, 골절의 종류와 정도에 따라 치료 방법과 치료 기간을 결정하는 의료 전문가의 조언을 따르는 것이 중요합니다.



✅발가락 골절 치료 비용과 수술비용 정보
발가락 골절은 다양한 형태로 발생할 수 있으며, 이에 따라 치료 방법이 달라집니다. 골절의 종류에 따라서는 수술이 필요한 경우도 있습니다. 주요 발가락 골절 유형은 다음과 같습니다:
- 뼈가 사선으로 부러진 경우: 이 경우 깁스만으로는 충분한 고정이 되지 않으므로 수술이 필요할 수 있습니다.
- 압박골절로 조각이 많이 발생한 경우: 많은 골조각이 발생한 경우, 수술을 통해 정확한 정렬과 고정이 필요합니다.
- 개방성골절로 뼈가 근육과 살을 찢고 튀어나온 경우: 이러한 심각한 골절은 수술적 치료가 필수입니다.



치료 옵션 및 비용
발가락 골절의 치료 옵션은 다음과 같이 다양합니다:
- 깁스 치료: 일반적으로 발가락 골절의 경도한 경우에 사용됩니다. 깁스 치료의 비용은 대략 13만원 내외로 예상됩니다.
- 스플린트: 경미한 골절에 대한 치료로 사용됩니다. 스플린트 치료의 비용은 약 5만원 정도입니다.
- 수술 치료: 뼈가 심각하게 파열되거나 개방성골절인 경우 수술이 필요합니다. 이 경우 수술비용은 약 60만원에서 150만 원까지 다를 수 있으며, 이 비용에는 입원비, 식비, 약값 등이 포함될 수 있습니다.



보험 및 주의사항
치료비용 부담을 완화하기 위해 다음과 같은 주의사항을 고려해야 합니다:
- 의료보험: 의료보험에 가입되어 있다면 일부 비용을 보험에서 지원받을 수 있습니다.
- 실손보험: 실손보험에 가입되어 있는 경우, 일정 금액을 위로금 형태로 지원받을 수 있습니다.
- 보험 약관 확인: 최근의 보험 약관에서는 발가락과 손가락 골절이 골절진단금에서 제외되는 경우가 있으므로, 보험 약관을 꼼꼼히 확인하고 필요 시 상담을 받는 것이 중요합니다.
발가락 골절은 가볍게 여길 수 없는 상황이며, 적절한 치료와 관리가 필요합니다. 무엇보다 예방을 통해 발생을 줄이는 노력이 중요하니 항상 안전을 지키시길 바랍니다.



✅발가락 골절 완치기간
아래 나오는 단계별로 어떻게 완치가 되는지 확인해보세요.
골절 직후 - 병원가기
발가락 골절 후, 의료 서비스 제공자와 상담이 필수입니다. 의사는 X-레이 및 기타 진단 검사를 통해 골절 정도를 평가하고 적절한 치료 방법을 제시할 것입니다. 부상된 발가락은 부목, 깁스 또는 테이핑을 통해 안정화될 수 있습니다.



초기 치유(1~2주) - 통증과 부종 관리
이 단계에서 중요한 것은 통증과 부종을 관리하는 것입니다. 부종을 줄이기 위해 냉찜질 및 발을 높이기 위한 쿠션 등을 사용합니다. 또한, 부상 부위에 무리를 가하지 않도록 주의해야 합니다.



부동화 단계(2~6주) - 안정성 유지
이 단계에서는 깁스나 워킹 부츠와 같은 보조 기구를 사용하여 발가락을 고정시킵니다. 의사는 체중 부하 범위를 결정하고 필요한 경우 목발이나 보행 보조기 사용을 권장할 것입니다. 정기적인 병원치료는 계속되어야 합니다.



재활 단계(6~8주) - 운동과 근력 강화
재활 단계에서는 발가락의 움직임 범위를 확장하고 근육을 강화하는 것이 핵심입니다. 물리 치료사의 지도를 받아 스트레칭과 근력 강화 운동을 수행합니다. 이 단계에서도 통증 관리가 필요할 수 있으며 필요한 경우 약물 치료나 다른 치료 방법을 고려할 수 있습니다.



정상 활동으로의 복귀(8~12주) - 개별적인 접근 필요
이 단계에서는 발가락 상태와 개인의 상황에 따라 점진적으로 일상 활동을 복귀할 수 있습니다. 그러나 과도한 활동으로 인한 위험을 피하기 위해 조심하는게 좋습니다.



✅발가락 골절 대표증상 2가지
아래와 같은 증상이 보이면 골절이 의심됩니다! 빨리 병원에 가세요.
추가로, 전문 의사 알려주는 6가지 대표 증상도 확인해보시기 바랍니다.
아무래도 전문 의사 알려주는 내용이기 때문에 정확합니다!
👍https://youtu.be/oZWPyy9UAnc?si=gi3ZLmOWT2T6o7Ym
위 링크 클릭하면 전문 의사 영상으로 이동합니다!
통증
골절된 발가락은 뼈가 부러져 나가는 부위에서 통증을 경험할 수 있습니다. 이러한 통증은 주로 움직일 때나 부위에 압력을 가할 때 더욱 두드러집니다. 예를 들어 걸을 때 발가락에 무게가 실리거나, 부상된 발가락을 만지거나 움직일 때 통증이 더욱 두드러지게 느껴질 수 있습니다.
통증은 골절 부위에서의 염증 및 조직 손상으로 인해 발생합니다. 부러진 뼈의 단면이 서로 마찰하거나 인접 조직에 압력을 가하면 통증이 생길 수 있습니다. 따라서 골절 부위를 무리하게 사용하지 않고 쉬는 것이 중요합니다.



피부변색
골절로 인한 혈관이나 주변 조직의 손상으로 혈종이 발생할 수 있습니다. 혈종은 피가 비정상적으로 모이는 현상을 의미하며, 이는 골절된 부위에서 혈액이 비정상적으로 모여 형성됩니다.
혈종으로 인해 골절 부위는 검붉게 변할 수 있으며 부종이 발생하면서 냉각감이나 저림을 느낄 수 있습니다. 이러한 증상이 나타날 경우, 반드시 전문의의 진단을 받아야 합니다. 조기 진단을 통해 필요한 치료를 받아야 하며, 이를 통해 합병증을 예방하고 피부변색과 관련된 증상을 완화할 수 있습니다.